『初診』の方へ

救急FIRST AID

心筋梗塞や虫垂炎、脳出血などを代表とする緊急トラブルにも、迅速に対応することを心がけています。救急時、特にCT検査がないと診断に至れないこともありますが、当院ではCT完備の強みを生かして、患者さんの診療に還元しています。
また、緊急時の判断は相当に重大でもあります。院長は救急科専門医でもありますので、このような問題にもしっかり取り組んでいます。

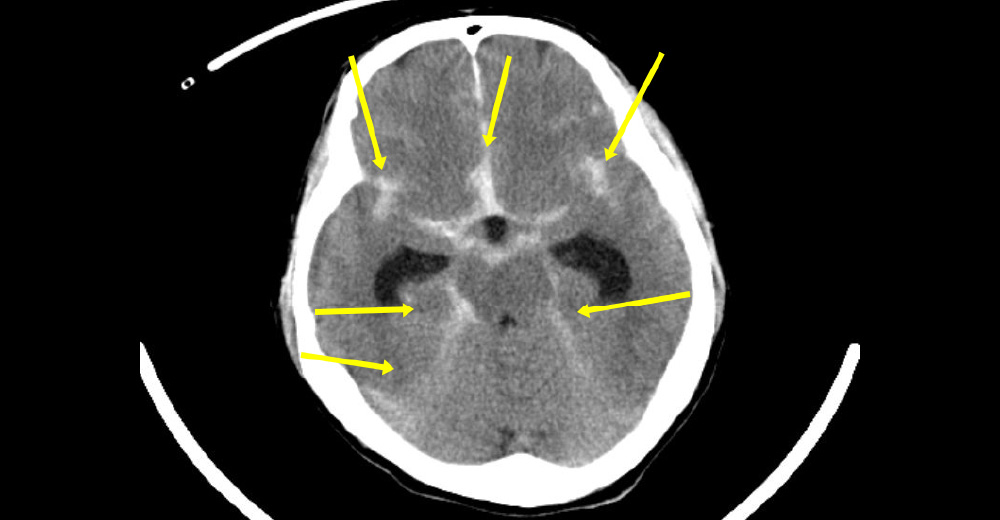
クモ膜下出血

クモ膜下出血の1例です。超緊急事態です。意識レベルの変化や胸部症状などまで、初発症状は多岐にわたります。

クモ膜下出血
☆状に白いところがクモ膜下腔の出血です
脳挫傷

高齢の方が転倒して頭部打撲した後に発症した脳挫傷の1例です。

脳挫傷
慢性硬膜下血腫

いつもとなんとなく様子がおかしい との御家族の指摘で、診断された、高齢者の慢性硬膜下血種の症例です。

慢性硬膜下血腫
緊急頭部CTで確定診断されました。 は出血、は脳が圧排されている所見です。

MRI画像です。

慢性硬膜下血腫
左のT2強調画像から、水の信号を引き算したのが右T2 FLAIRです。 が出血部位です。
気胸

肺に穴があく、気胸 といわれる状態です。緊急に胸から空気を抜く必要があります。

気胸
急性虫垂炎

腹痛と血尿を訴えて受診。
虫垂が破れて、周囲に うみ をためています。炎症の波及で、膀胱へ波及→血尿が出ていました。

急性虫垂炎 急性虫垂炎 急性虫垂炎

急性虫垂炎 腫大した 虫垂 が造影されています。別症例です。

急性虫垂炎
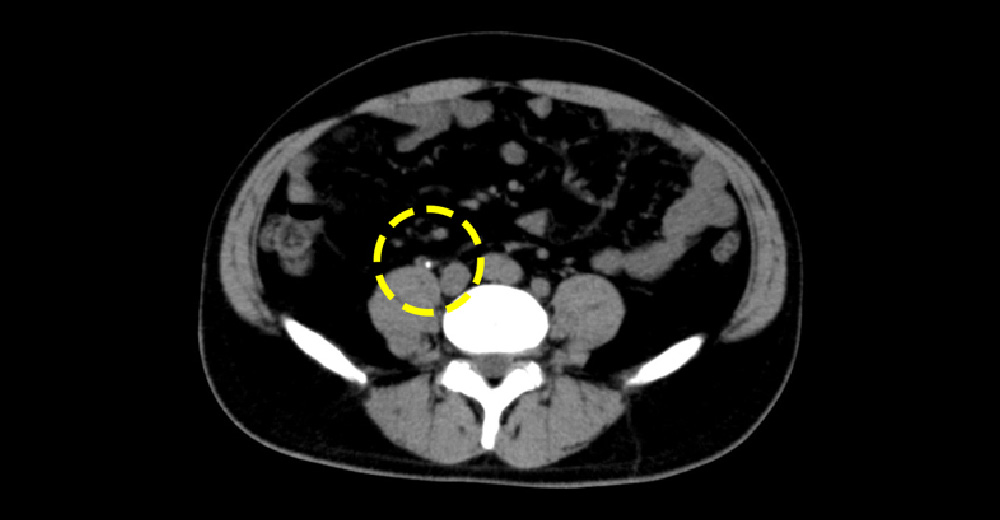
尿管結石

激しい背部痛や腹痛を主訴として受診された症例です。エコーでも見逃されやすく、確定診断にはCTが有用です。

尿管結石
右尿管が軽度拡張し、周囲に炎症を思わせる脂肪織混濁を認めます。
尿管結石
白い粒が右尿管内の結石です。
TO TOP