『初診』の方へ

泌尿器UROLOGY

当院では、小児泌尿器診療、成人の性病・性感染症とそれを疑うケースは、現在診療しておりません。
御理解を宜しくお願い申し上げます。

以下のような事がありませんか?

  • 血尿が出た
  • 尿が濁っている
  • 排尿時痛がある
  • 検診で尿検査異常を指摘された
  • 検診でPSA値異常を指摘された

早目に医療機関へ相談しましょう。

血尿 or 尿潜血反応” を認めた場合

  1. 腎・尿路腫瘍 or 結石
  2. 腎臓病
  3. 尿路感染症

を3大鑑別疾患として考えます。特に、中年期以後では、腫瘍があるかどうかは常に考慮する必要があります。

① 腎・尿路腫瘍かどうか?
腎がん・尿管がん・膀胱がん・前立腺がん

血尿診断ガイドライン 2023
一般社団法人 日本腎臓学会:血尿診断ガイドライン 2023

② “前立腺がん” かどうか?
前立腺特異抗原PSA

②中年以降の男性は、前立腺がんのスクリーニング・“血液検査PSAを測定する

前立腺がん” かどうか?

PSAは、“前立腺体積要因”“時間要因” の2点を、値に勘案するほうがよいことが分かっています。

1. PSA密度

前立腺肥大症によって、前立腺が大きくなるほどPSAが高値になる傾向があることから、体積の影響を無くすためにPSAを体積で除する“PSA密度”も測定するほうがよいでしょう。カットオフ値は0.15と定義されています。体積計測の代表的ツールであるエコーは必須評価です。
例えば2人の患者さんが同じPSA値8ng/mlでも、一方が前立腺体積が20ccであるのに対して、もう一方の患者さんが80ccであったとすると、PSA密度は、20ccの患者さんは0.4となり、カットオフ値の0.15を大きく超えるため前立腺がんが強く疑われ、一方では80ccの患者さんはPSA密度0.1で、がんの疑いは低くなります。

同じPSA 8.0ng/mlでも…

2. PSA増加速度

PSA増加速度とPSA倍加時間があり、“がん”は増殖するため、PSA値は上昇するが、基本的に良性の肥大症では高いままで増加しないといった原理を利用したものです。
PSA増加速度は1年間におけるPSAの上昇度で表わされ0.75ng/ml/yearが正常値とされます。
PSA倍加時間は、2〜3年以内であれば臨床的に意義のある“がん”である可能性が高いと言われています。

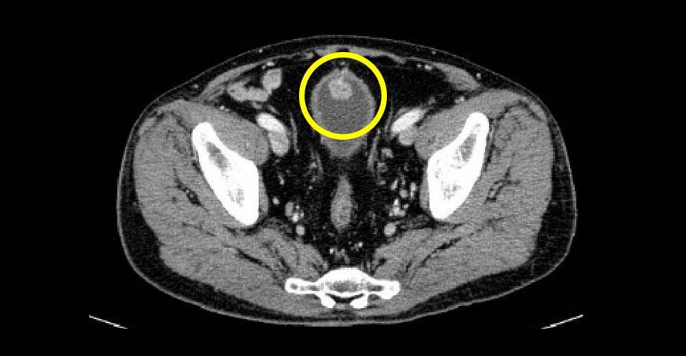
膀胱がん

膀胱がん症例です。
エコーで膀胱内に血流信号のある腫瘤と、CTで造影効果のある膀胱内腫瘤が確認されます。

膀胱がん 膀胱がん 膀胱がん 膀胱がん
前立腺がん

前立腺がん症例です。前立腺生検前にMRI撮影を行っています。

前立腺がん
造影CTにて前立腺に造影効果のある高吸収域が指摘されます。
前立腺がん
左:MRI T1強調 右:MRI T2強調
前立腺がん
左:MRI Diffusion 右:MRI ADC map
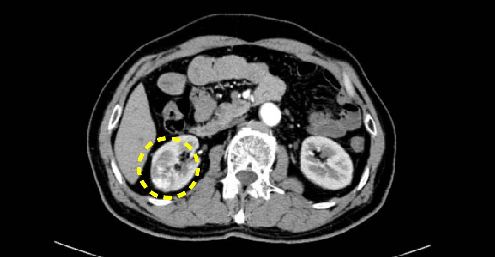
腎細胞がん

腎細胞がん症例です。
エコーで、内部不均一な腫瘤が確認されます。

腎細胞がん 腎細胞がん

腎細胞がん症例です。
造影CTにおいて、不整な造影効果を伴う腫瘤が確認されます

腎細胞がん
造影早期
腎細胞がん
造影後期②
排尿に関わる2大疾患

LUTS:
Lower Urinary Tract Syndrome

残尿、頻尿、尿漏れでお困りの方は疑われます。
女性は “過活動性膀胱
男性は “前立腺肥大”(前立腺がん鑑別要)
男女関係なく、神経因性膀胱

  1. 超音波を有効に利用する “前立腺体積” と “排尿直後残尿量の測定(残尿が100ml以上あるか?)”
  2. 中年以降の男性は、前立腺癌のスクリーニング・血液検査PSAを測定する
    残尿100ml未満行動療法+薬物療法
    残尿100ml以上泌尿器科専門医に相談
排尿に関わる2大疾患
超音波計測上、前立腺容積が80ml超あり、排尿障害の原因として前立腺肥大が明らかです。
TO TOP