『初診』の方へ

胆道がんBILIARY TRACT CANCER

Intrahepatic Bile Duct Anatomy
出典:公益財団法人神戸医療産業都市推進機構「がん情報サイト」

体が黄色くなる“黄疸”や胆管炎による腹痛、発熱症状が診断の契機となります。
疑えば、 ①エコー②造影CT の順序で診断します。

遠位胆道がん

エコー① “閉塞性黄疸”

遠位胆管がん 造影CT動脈相/造影CT門脈相*矢状断
左から 遠位胆管がん 造影CT動脈相/造影CT門脈相*矢状断
肝門部胆管がん
右肝管から総肝管内の腫瘤
右肝管から総肝管内の腫瘤
左肝管内の腫瘤
左肝管内の腫瘤
肝門部の境界不整・造影不良領域
肝門部の境界不整・造影不良領域
胆嚢がん症例①
(胆嚢頸部主座)

エコー

胆のう頸部内不整エコー像/右横隔膜方向 S8ac~S7へ膨隆腫大した胆嚢底部・体部
左から 胆のう頸部内不整エコー像/右横隔膜方向 S8ac~S7へ膨隆腫大した胆嚢底部・体部
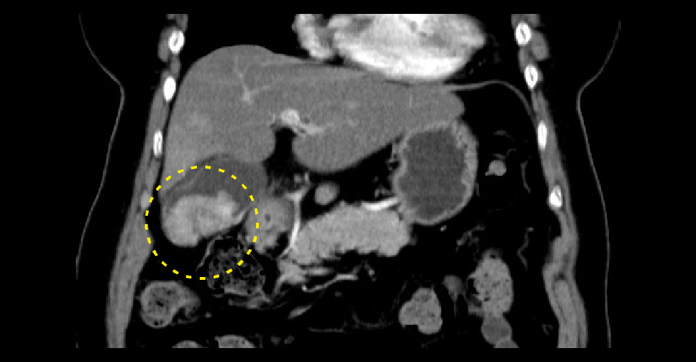
造影CT門脈相*冠状断
造影CT門脈相*冠状断
胆嚢がん症例②
(胆嚢底部主座)
エコー 胆嚢底部を主座とした不整形腫瘤/腫瘤内血流シグナル
左から エコー 胆嚢底部を主座とした不整形腫瘤/腫瘤内血流シグナル
造影CT動脈相/造影CT動脈相*水平断|胆嚢底部に造影効果を伴う腫瘤と膵鉤部~下大静脈周囲リンパ節が一塊となって腫脹
造影CT動脈相/造影CT動脈相*水平断
胆嚢底部に造影効果を伴う腫瘤と膵鉤部~下大静脈周囲リンパ節が一塊となって腫脹
造影CT動脈相/造影CT動脈相*冠状断
造影CT動脈相/造影CT動脈相*冠状断
TO TOP