『初診』の方へ

粘膜下腫瘍SUBMUCOSAL TUMOR

胃壁の層
© 2018 Terese Winslow LLC U.S. Govt. has certain rights
粘膜下腫瘍

消化管間葉系腫瘍 ~Gastrointestinal stromal tumor:GIST

胃がんや大腸がんは、最表層の粘膜から発生しますが、粘膜より下の深部からできる腫瘍もあります。
消化管粘膜下腫瘍の中で、診断・治療・化学療法など、最も問題となるのが、Gastrointestinal stromal tumor:GISTです。

胃GIST~上部消化管内視鏡

表層の粘膜面は平滑で異常を認めませんが、圧排隆起されています。

胃GIST~上部消化管内視鏡

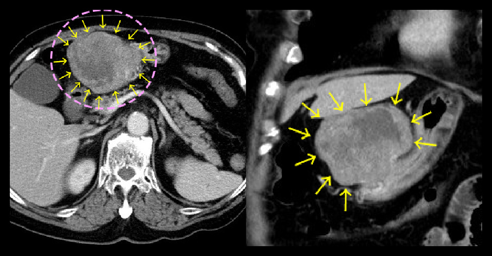
胃GIST~CT

胃GIST~CT
左から 造影CT 門脈相・水平断 / 造影CT 門脈相・冠状断

内視鏡・超音波・CT・針生検を組み合わせて診断し、適応となれば切除が推奨されます。

GIST診断ガイドラインから抜粋
GIST診断ガイドラインから抜粋
TO TOP